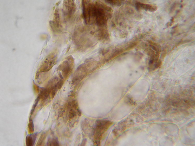
Entoloma atrocoeruleum
HDS, Radialschnitt in Scheitelnähe