Cortinarius coerulescentium Rob. Henry
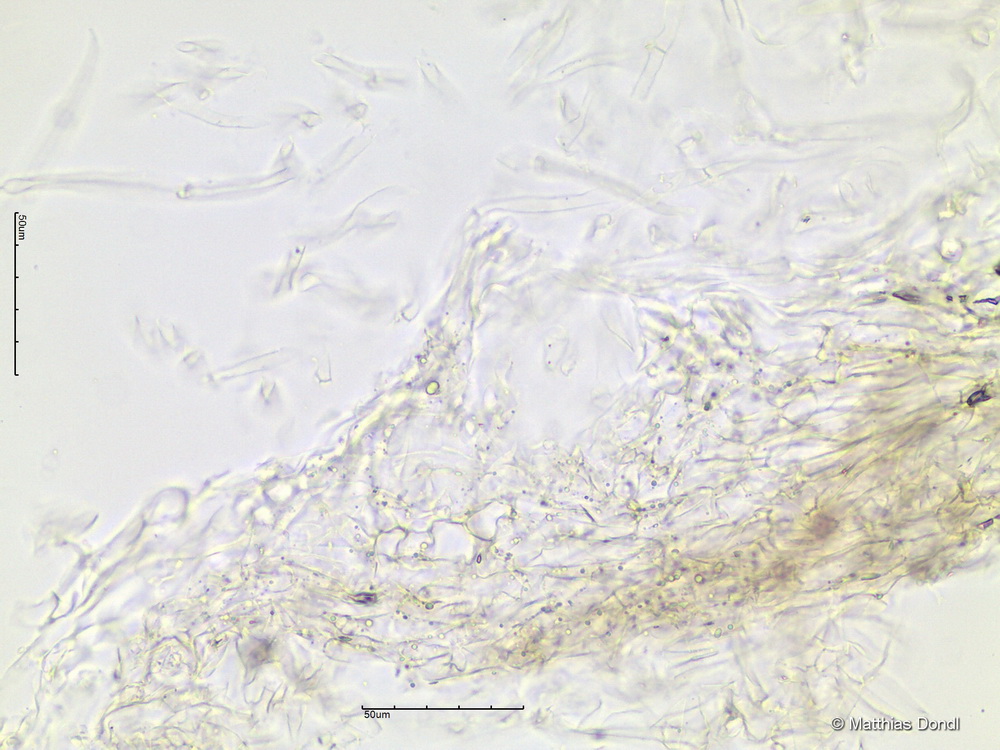
HDS