Cortinarius decolorans (Pers.) Fr.
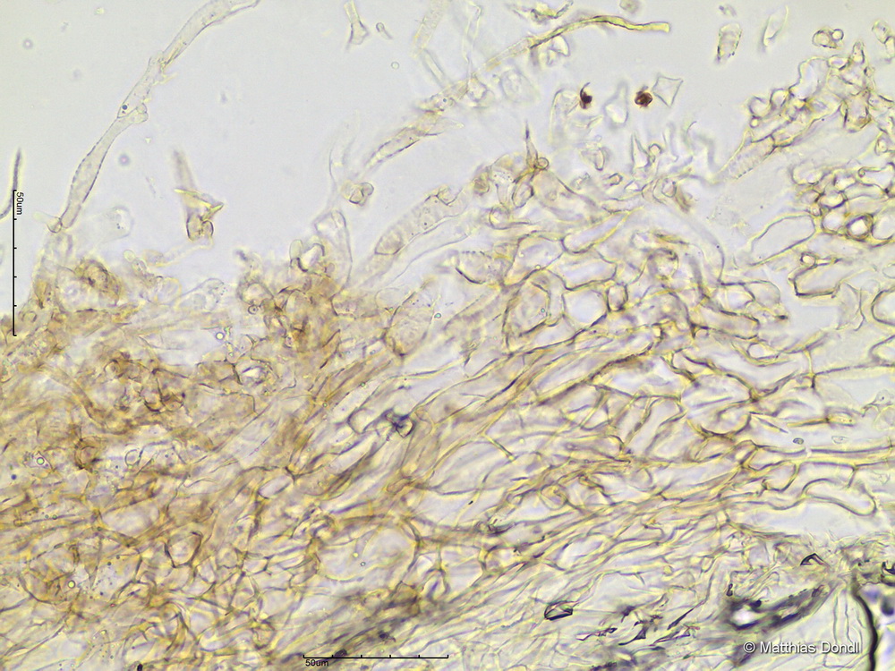
HDS