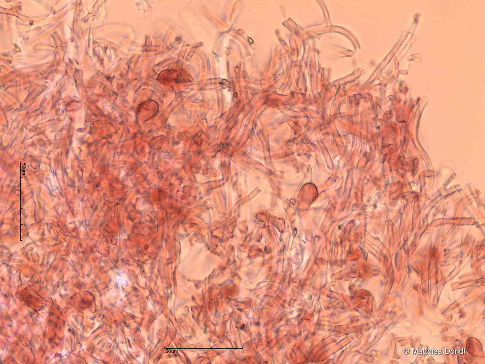
Ramaria flavoides Schild
Basalmyzel