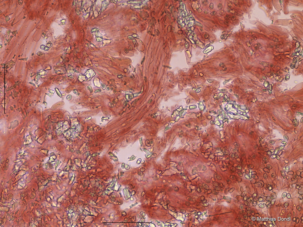
Ramaria ignicolor Bres. apud Corner
Hymenium und Trama