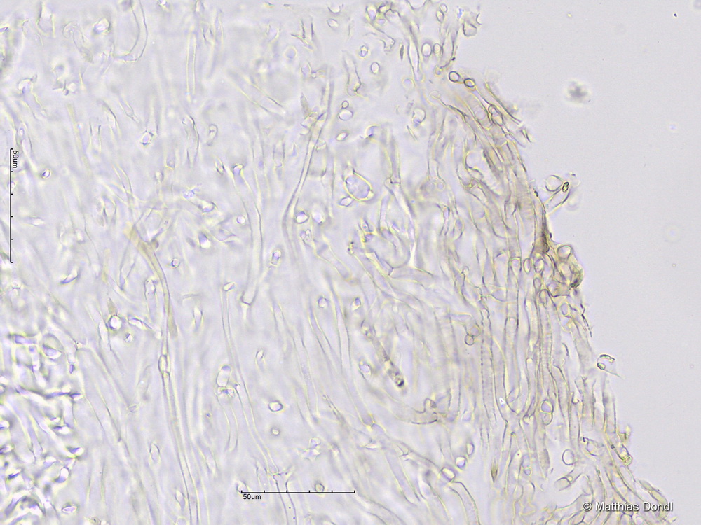
Gymnopus foetidus (Sowerby: Fr.) J.L. Mata & R.H. Petersen
HDS