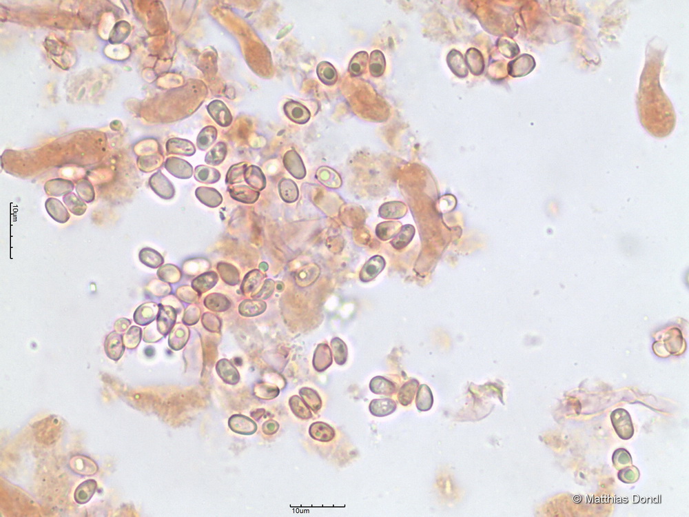
Lepiota apatelia Vellinga & Huijser
Sporen

Foto