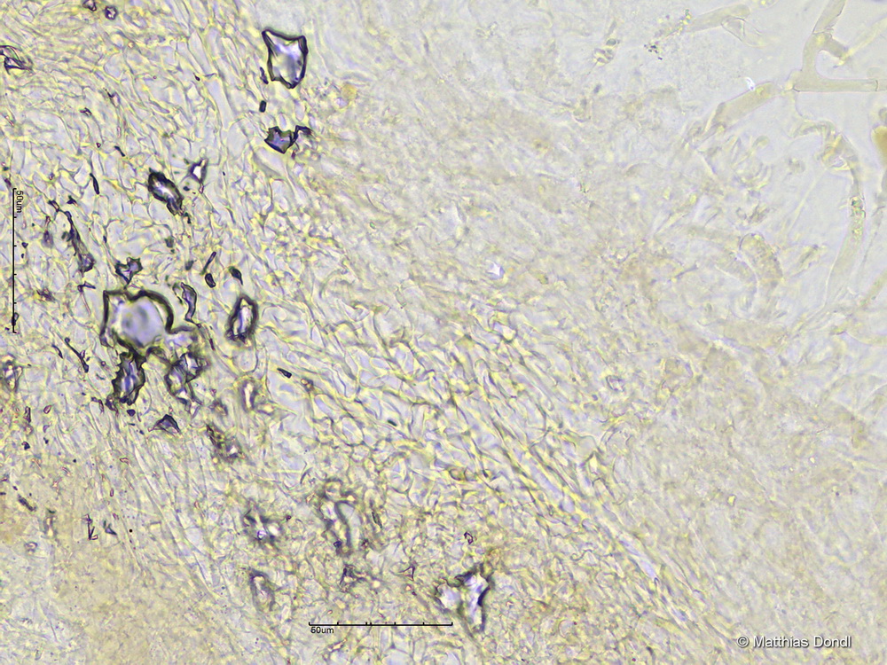
Cortinarius caesiocanescens M. M. Moser
HDS