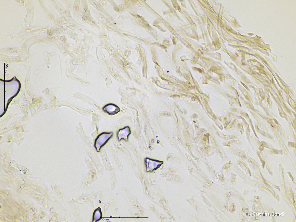
Cortinarius cyanites Fries
HDS