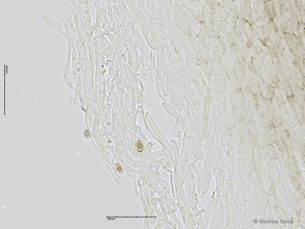
Cortinarius refectus Britzelm
HDS