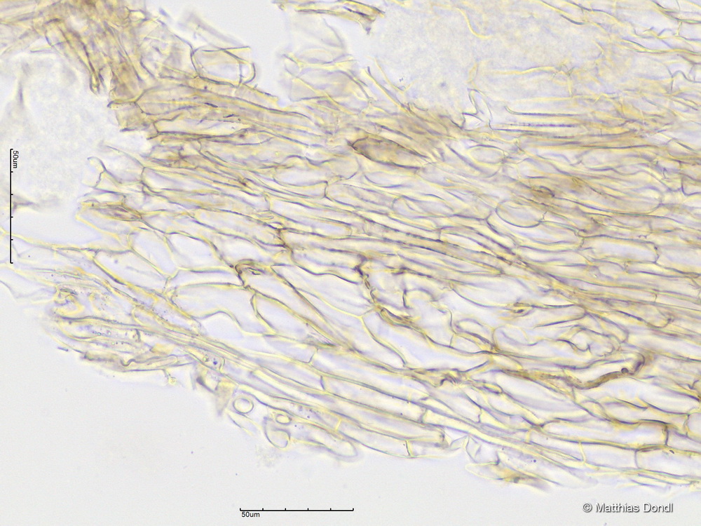
Cortinarius semiodoratus Rob. Henry 1993
HDS