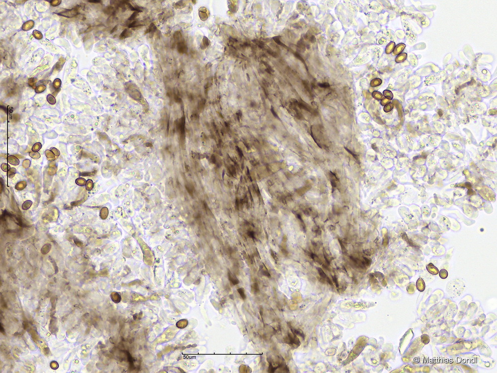
Cortinarius spec.
Lamellentrama