Ramaria flava var. scandinavica (R.H. Petersen) Christan
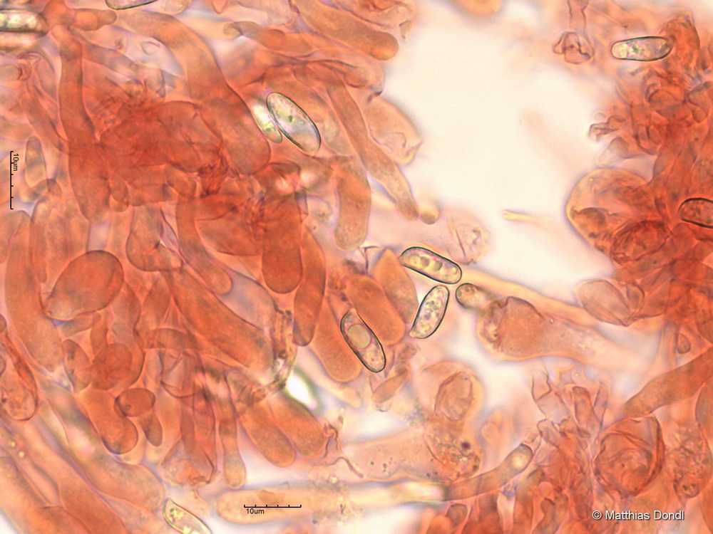
Sporen