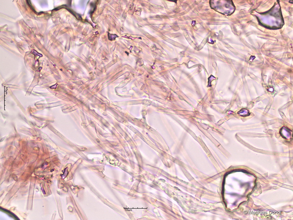
Ramaria cf. flavescens R.H. Petersen
Myzelfilz

Foto