Cortinarius aureopulverulentus M.M. Moser
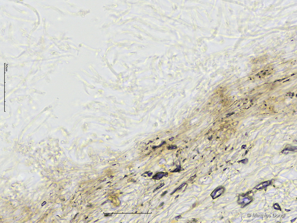
HDS

Foto