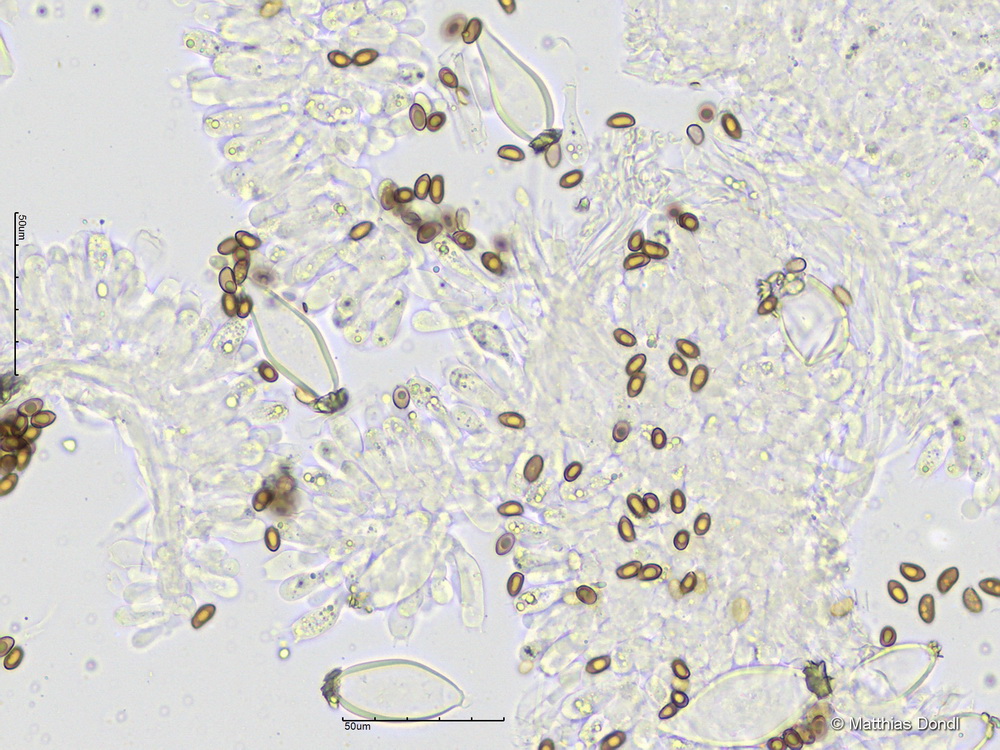
Inocybe subalbidodisca Stangs & Veselský
Pleurozystiden

Foto