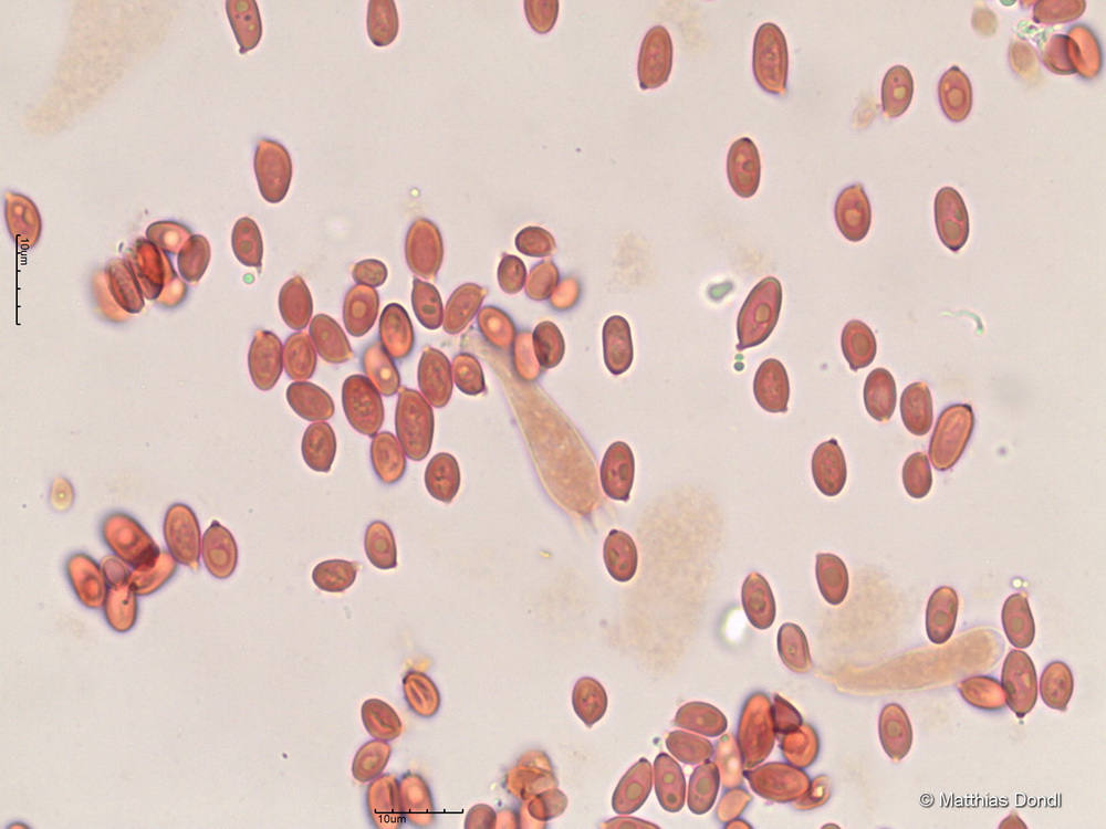
Lepiota echinella Quél. & G.E. Bernard
Sporen

Foto