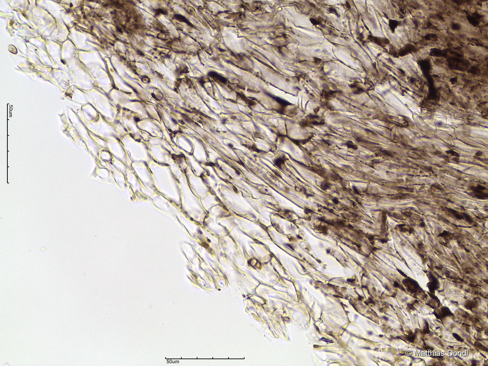
Cortinarius impolitus Kauffman
HDS

Foto