Cortinarius hinnuleus Fr. s.l.
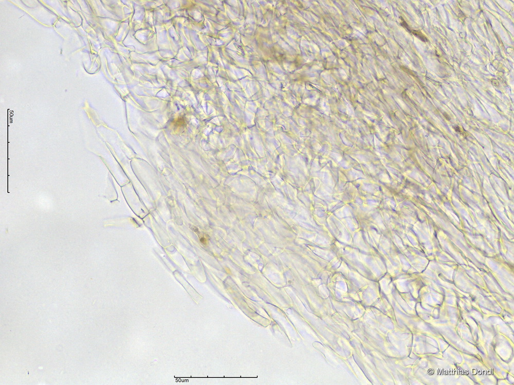
HDS

Foto