Cortinarius praestigiosus (Fr.) M.M. Moser
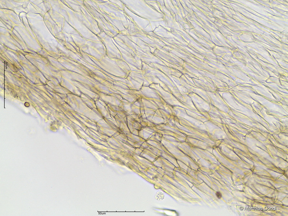
HDS

Foto