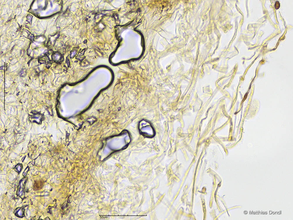
Cortinarius cf. patibilis Brandr. & Melot
HDS

Foto