Cortinarius scaurus (Fr.: Fr.) Fr.
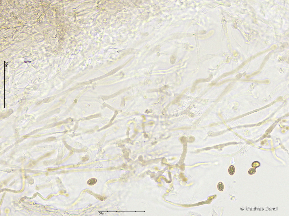
HDS

Foto