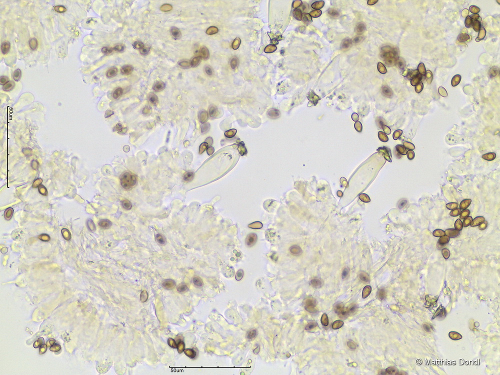
Inocybe pelargonium Kühner
Pleurozystiden

Foto