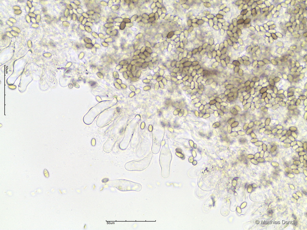
Psathyrella cf. candolleana (Fr.: Fr.) Maire
Lamellenschneide in Wasser

Foto