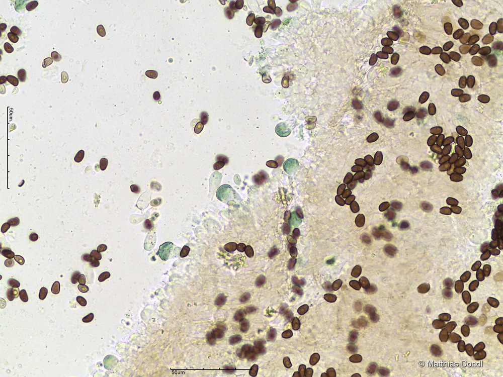
Cystoagaricus silvestris (Gillet) Örstadius & E. Larss.
Pleurozystiden in Ammoniak

Foto