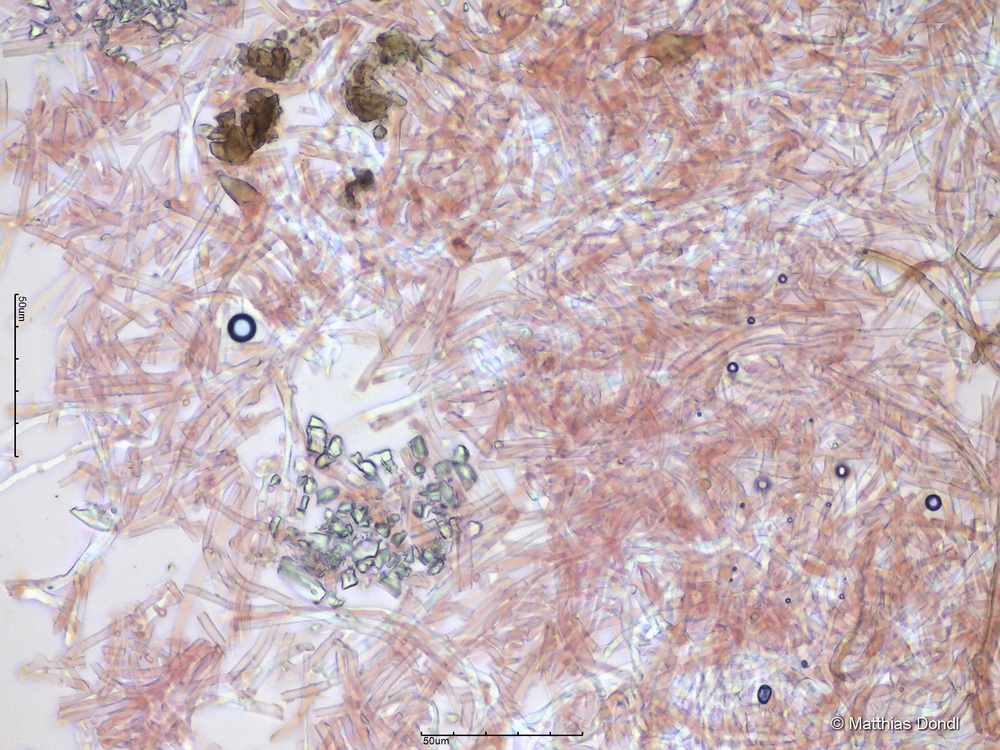
Ramaria rufescens (Schaeff.: Fr.) Corner
Basalmyzel

Foto