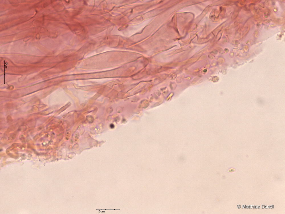
Clitocybula familia (Peck) Singer
HDS

Foto