Entoloma platyphylloides (Romagn.) Largent
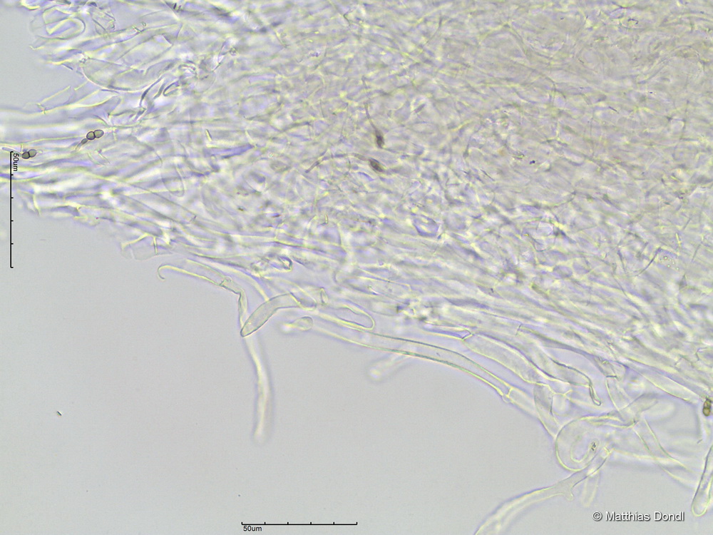
HDS

Foto