Hygrophoraceae 2017

Nr. 1: Arrhenia acerosa (Fr.: Fr.) Kühner

Zur Bestimmung: Die kleinen, subglobosen Sporen sind schon ein bisschen abenteuerlich, aber anscheinend sind Sporenform und -größe bei dieser Art sehr variabel (nach FN, Gröger und Ludwig). Arrhenia latispora (J. Favre) Bon & Courtec hat subglobose, aber auch größere Sporen und auf der Abbildung bei Eyssartier (2013) auch viel entfernter stehende Lamellen. Die Art wird von vielen Autoren mit A. acerosa synonymisiert.

Foto Foto Foto

Funddaten: 14.09.2017; MTB 8533-2-1-1, ca. 920 m; D-By-Landkreis Garmisch-Partenkirchen, Gemeinde Krün, Klais, Geißschädel/Grubreut, NSG, magere Mähwiese mit eingestreuten Fichten über Raibler Schichten (Kalk); gesellig in der feuchten Mähwiese, auf lebenden Moostrieben;
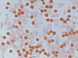
Hut: muschelförmig, bis 3,2 cm breit, trocken, matt, graubraun, oft etwas heller marmoriert, hygrophan; Stiel: rudimentär, auf lebenden Moostrieben ansitzend; Lamellen: gedrängt, graubraun; Geruch: unauffällig; Sporenpulver: weiß; Mikromerkmale vom Exsikkat: Basidien: 4-sporig, mit Schnallen, ca. 27-31 x 7-8; Hymenialzystiden: keine gesehen; Sporen: subglobos bis tropfenförmig, basal verschmälert, kongophil, inamyloid (Pulver in Melzer ohne Reaktion, Sporen in Melzer grünlich, also ganz schwach reagierend); Maße: 6,2 x 5,3 (5,6-6,8 x 4,8-5,9), Q=1,17 (1,05-1,26), 20 Sp. gemessen;

Nr. 2: Arrhenia cf. griseopallida (Desm.) Watling

Zur Bestimmung: Mit Gröger, Ludwig und FN bestimmt. Die Alternative ist A. obscurata. Die sehr langen, schlanken Sporen von 2-sporigen Basidien habe ich hier stärker gewichtet als andere Merkmale. So gibt Gröger für A. griseopallida sehr schmale Lamellen und Basidien von (25) 32-45 Länge an, was bei meiner Kollektion nicht erreicht wird. Die Art sollte vielleicht auch stärker trichterig und etwas heller sein oder zumindest stärker ausblassen. Der deutlich filzige Hut spricht laut Gröger und Ludwig wiederum für A. griseopallida.

Foto Foto Foto Foto Foto

Funddaten: 18.10.2017; Italien, Toskana, Castiglion Fiorentino; Cantalena; an der Forststraße, die von Cantalena ostwärts ins Nestortal führt; im alten Kastanienhain an Quellaustritt; auf nacktem, sandig-lehmigem Boden; gesellig (4 Fk);
Beschreibung: siehe Fotos; Mikromerkmale vom Exsikkat: HDS: Cutis, Zellen mit grob querstreifig inkrustierendem dunkelbraunem Pigment, mit Schnallen; Lamellenschneide: fertil; Basidien: 2-sporig, mit Schnallen; 23-31 x 7,0-8,5; Sporen: sehr variabel geformt, meist tropfenförmig oder schlank ellipsoid, auch subzylindrisch oder spindelig mit suprahilarer Depression, basal meist schlanker als apikal, hyalin; Maße: 11,8 x 6,1 (10,5-15,0 x 5,3-6,8), Q=1,94 (1,66-2,83), 20 Sp. gemessen;

Nr. 3: Hygrocybe citrinovirens (J.E. Lange) Jul. Schaeff.

Zur Bestimmung: Makroskopisch klar.

Foto Foto

Funddaten: 20.08.2017; MTB 8435-3-4-1, 1395 m; 11.552725 E, 47.517227 N; D-By-Landkreis Bad Tölz–Wolfratshausen, Lenggries, Fall, Lerchkogel Hochleger; magere, feuchte, aber nicht nasse Almwiese über Plattenkalk; büschelig im Gras;
Hut: bis 4 cm breit, trocken, wachsig, typisch spitzgebuckelt; Stiel: oft mit tiefer Längsfurche oder gar zweigeteilt, trocken, glatt; Lamellen: aufsteigend angewachsen, sehr bauchig, mäßig gedrängt, weiß mit minimalem Gelbstich; Mikromerkmale vom Exsikkat: Lamellentrama: aus parallelen, sehr langen, wurmfömigen, an den Enden verjüngten Zellen; Basidien: 4-sporig, 2-sporige eingestreut, mit Schnallen; ca. 40-51 x 8-10; Sporen: breit ellipsoid bis subglobos, Maße: 8,0 x 6,1 (7,0-9,2 x 5,3-7,8), Q=1,32 (1,11-1,52), 20 Sp. gemessen;

Nr. 4: Hygrocybe helobia (Arnolds) Bon

Zur Bestimmung: Mit Gröger geschlüsselt. Unkritisch.

Foto Foto Foto Foto Foto Foto Foto Foto

Funddaten: 08.08.2017; MTB 8435-3-4-1, 1425 m; 11.556083 E, 47.518173 N; D-By-Landkreis Bad Tölz–Wolfratshausen, Lenggries, Fall, Lerchkogel Hochleger; auf der Feuchtwiese am Ende der Fahrstraße nahe dem Wanderweg vom Lerchkogel-Hochleger zum Niederleger; Feuchtwiesen und Weiden über Plattenkalk; im Sphagnum in der Moorwiese; gesellig (6 Fk), verg. mit H. coccineocrenata (Nr. 5);
Hut: bis 2,3 cm breit, flach gewölbt und stets breit genabelt, Hutrand von der Seite betrachtet abgerundet gezähnt, in der Aufsicht auf die Lamellen stark unregelmäßig, Oberfläche trocken, jung fast bis zum Rand deutlich filzig-schuppig, mit gleichfarbigen bis orangegelben Schüppchen, später weitgehend verkahlend und nur noch im Zentrum filzig-schuppig, Grundfarbe orangerot bis tieforange; Stiel: bis 3,8 x 0,25, von oben nach unten allmählich verschlankt, glatt, apikal gelb bis orangegelb, in der unteren Hälfte orange; Lamellen: meist schwach ausgebuchtet und mit Zahn herablaufend, entfernt (16-19 erreichen den Stiel), dick, untermischt, orangegelb, an den Schneiden meist hellgelb abgesetzt; Fleisch: siehe Schnittbild; Geruch: schwach, vielleicht minimal süßlich honigartig; Mikromerkmale vom Exsikkat: HDS: in der Hutmitte ein Trichoderm, Endzellen spindelig, mit intrazellulärem braunem Pigment, ca. 46-75 x 10-16, mit Schnallen; Lamellentrama: Zellen sehr lang und wurmförmig, viele mindestens 250-350 lang; Basidien: überwiegend 4-sporig, mit Schnallen, Maße: 32-45 x 9-11; Sporen: breit ellipsoid, basal oft etwas breiter als apikal, Maße: 9,1 x 6,1 (7,5-9,9 x 5,3-7,1), Q=1,49 (1,32-1,76), 20 Sp. gemessen;

Nr. 5: Hygrocybe coccineocrenata (P. D. Orton) M. M. Moser

Zur Bestimmung: Mit Gröger geschlüsselt. H. turunda unterscheidet sich angeblich durch eine andere Ökologie (bevorzugt trockene Standorte). Die bei Boertmann (1995) auf S. 113 abgebildete Kollektion von G. turunda sieht jedenfalls zu 100% genauso aus wie die hier dokumentierte Kollektion.

Foto Foto Foto Foto Foto Foto

Funddaten: 08.08.2017; MTB 8435-3-4-1, 1425 m; 11.556083 E, 47.518173 N; D-By-Landkreis Bad Tölz–Wolfratshausen, Lenggries, Fall, Lerchkogel Hochleger; Feuchtwiesen und Weiden über Plattenkalk; im Sphagnum in der Moorwiese; gesellig (unzählige Fk, aspektbildend), verges. mit H. helobia (Nr. 4);
Hut: 8-13 mm breit, flachgewölbt, bisw. schwach genabelt, trocken, komplett filzig-schuppig, orange bis rotorange, Schüppchen sehr variabel gefärbt, meist bräunlich, schmutzigbraun, bei einigen, meist jungen Fk aber auch gleichfarbig zum Untergrund; Stiel: bis 3,5 x 0,2 cm, basal verjüngt, apikal bisw. schwach erweitert, glatt, trocken, wachsig, orange bis orangegelb, basal oft hellgelb abgesetzt; Lamellen: schwach bis deutlich herablaufend, entfernt, gelb mit weißlichen Schneiden (anfangs blass cremegelb); Fleisch: siehe Schnittbild; Geruch: schwach; Mikromerkmale vom Exsikkat: HDS: auf ca. halben Hutradius ein Trichoderm mit aufgerichteten Endzellen, Endzellen spindelig, ca. 22-120 x 15-36, im Mittel ca. 20-25 µm breit; mit diffusem und vakuolärem braunem intrazellulärem Pigment; Lamellentrama: kurz septiert, Zellen ziemlich stark aufgetrieben ca. 7-24 µm breit; Basidien: 4-sporig, mit Schnallen, ca. 43-51 x 8-10; Sporen: ellipsoid, nur ausnahmsweise eingeschnürt, Maße: 10,4 x 6,7 (9,2-11,9 x 6,1-7,1), Q=1,56 (1,39-1,95), 10 Sp. gemessen;

Nr. 6: Hygrocybe subpapillata Kühner

Zur Bestimmung: Mit Gröger und FN geschlüsselt. Unkritisch. In der DGfM-Kartierung bislang erst 2 Fundpunkte in Bayern und noch keiner in Oberbayern.

Foto Foto Foto Foto Foto Foto Foto

Funddaten: 20.08.2017; MTB 8435-3-4-1, 1395 m; 11.552725 E, 47.517227 N; D-By-Landkreis Bad Tölz–Wolfratshausen, Lenggries, Fall, Lerchkogel Hochleger; magere, feuchte, aber nicht nasse Almwiese über Plattenkalk; gesellig im Gras; verges. mit Entoloma griseocyaneum und Hygrocybe citrinovirens (Nr. 4);
Hut: bis 2,5 cm breit, konvex, im Zentrum nicht oder nur minimal genabelt, schmierig, aber nicht wirklich klebrig, etwa bis zum halben Radius durchscheinend gestreift, orangerot bis orangegelb; Stiel: bis 4 x 0,3 cm, hohl, basal schwach verjüngt, wachsig, orange bis orangegelb; Lamellen: schwach aufsteigend bis gerade angewachsen, entfernt, orangegelb bis gelb; Fleisch: siehe Schnittbild; Geschmack: mild; Mikromerkmale vom Exsikkat: HDS: ziemlich glatte Cutis, Zellen nur teilweise und minimal gelifiziert; Lamellentrama: Zellen wurmartig, an den Enden verjüngt, sehr lang, viele weit über 250 µm lang; Basidien: 4-sporig, mit Schnallen, ca. 29-35 x 7-9; Sporen: ellipsoid, selten einseitig schwach konkav, kaum eingeschnürt, Maße: 8,1 x 4,6 (7,0-8,6 x 4,1-5,3), Q=1,74, 10 Sp. gemessen;

Nr. 7: Cuphophyllus radiatus (Arnolds) Bon

Zur Bestimmung: C. colemannianus ist gewöhnlich größer und weist eine Ixocutis sowie etwas größere Sporen auf. Es ist natürlich nicht ausgeschlossen, dass C. radiatus in die Variationsbreite dieser Art gehört.

Foto Foto Foto Foto Foto Foto Foto Foto

Funddaten: 20.08.2017; MTB 8435-3-4-1, 1395 m; 11.552725 E, 47.517227 N; D-By-Landkreis Bad Tölz–Wolfratshausen, Lenggries, Fall, Lerchkogel Hochleger; magere, feuchte, aber nicht nasse Almwiese über Plattenkalk; einzeln an der Stirnseite eines übermoosten Kalkfelsen; einzeln; verges. mit Entoloma griseocyaneum, Hygrocybe subpapillata (Nr. 6) und Hygrocybe citrinovirens (Nr. 3);
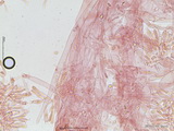
Hut: 1 cm breit, gewölbt, Oberfläche minimal klebrig und glänzend, bis zum Scheitel durchscheinend gestreift, kastanienbraun, am Scheitel schokobraun; nicht hygrophan; Stiel: 2,5 x 0,2 cm, zylindrisch, basal gleichdick, trocken, cremegrau; Lamellen: deutlich herablaufend, entfernt (20 erreichen den Stiel), cremegrau; Schneiden konkav; Fleisch: in der Stielrinde cremegrau, in der Stielspitze bräunlich, im Hut braun; Geruch: unauffällig; Mikromerkmale vom Frischpilz (HDS und Trama in Wasser mikroskopiert): HDS: glatte Cutis, Zellen in der obersten Lage kaum über 4 µm breit, vereinzelt mit zylindrischen, apikal abgerundeten Endzellen, Schnallen sehr häufig; Pigment fein inkrustierend (vor allem an sehr schmalen Zellen deutlich zusehen), farblich blass; Trama: aus eher kurz septierten Zellen (ca. 28-82 x 9-12); indextrinoid; Basidien: 4-sporig, sehr schlank keulig, ca. 47-55 x 6-8; mit Basalschnallen; Sporen: breit ellipsoid, hyalin, mit großem Tropfen, Wände auch in Kongo meist kaum zu erkennen, inamyloid; Maße: 7,4 x 5,5 (6,8-8,2 x 5,0-6,1), Q=1,35; 10 Sp. gemessen;

Nr. 8: Hygrocybe glutinipes (J:E: Lange) R. Haller Aar.

Zur Bestimmung: Mit FN geschlüsselt.

Foto Foto Foto

Funddaten: 13.08.2017; MTB 7446-4-1-3, 455 m, Koordinaten: 13.41829 E, 48.53444 N; D – By – Landkreis Passau, Gmd. Neuburg am Inn, Neuburger Wald, auf der Streuobstwiese am 13er Wanderweg (über Perlgneis); mitten in der Wiese im Gras;
Hut: bis 2,5 cm breit, jung gewölbt, alt ausgebreitet, stets genabelt, bis zum Scheitel durchscheinend gestreift, sehr schleimig, orangerot; Stiel: bis 5 x 0,4 cm, basal ausspitzend, glatt, orangegelb, sehr schleimig; Lamellen: meist schwach ausgebuchtet und mit Zahn angewachsen, ziemlich entfernt, orangefarben mit gelben Schneiden; Fleisch: siehe Schnittbild; Geruch: schwach; Geschmack: mild; Mikromerkmale vom Exsikkat: Lamellentrama: Zellen schlank, nicht aufgeblasen, ca. 5-10 µm breit und an den Enden verjüngt, viele weit über 150 µm lang (oft schwer zu messen), aber auch viele Zellen unter 150 µm vorhanden. Basidien: überwiegend 4-sporig, mit Schnallen, ca. 25-36 x 6,5-7,5; Sporen: ellipsoid, apikal meist etwas schmäler als basal, nur ausnahmsweise eingeschnürt, Maße: 6,9 x 4,1 (6,5-7,4 x 3,8-4,3), Q=1,70, 10 Sp. gemessen;

Nr. 9: Hygrophorus capreolarius (Karlchbr.) Sacc.

Zur Bestimmung: Makroskopisch klar.

Foto Foto Foto Foto

Funddaten: 04.10.2017; MTB 8433-1-2-3, 1160 m; 11.222674 E, 47.577826 N; D-By – Landkreis Garmisch-Partenkirchen, Gemeinde Eschenlohe, Schellenberg; Bergmischwald (Fichte, Tanne, Buche, Bergarhorn) über Hauptdolomit; bei großen Tannen und Buchenverjüngung gesellig (8 Fk), verges. mit Russula cavipes und Mycena aurantiomarginata;
Hut: bis 4,5 cm breit; Geruch schwach pilzig; im Übrigen siehe Fotos;

Nr. 10: Lichenomphalia cf. pararustica (Clémençon) Elborne

Zur Bestimmung: Unklar. Ziemlich sicher eine lichenisierte Art. Im Grögerschlüssel stößt man auf L. pararustica, die laut Origainalbeschreibung (Z. Mykol 48(2) 1982) jedoch schlankere Sporen (bis 3,5) und längere Stielhaare besitzt. Die Beschreibung in FN gibt Sporen bis 4,5 µm Breite an. Möglich wäre evtl. auch L. meridionalis, die in die in FN und Gröger nicht erwähnt ist. Gute Übereinstimmung bietet eine Beschreibung von L. pararustica auf der Website http://www.lichensmaritimes.org/index.php?task=fiche&lichen=705&lang=en. Auch Eyssartier 2013 (Guide des Champignons S. 562) gibt eine mit dieser Kollektion gut übereinstimmende Beschreibung mit Abbildung von L. pararustica.

Foto Foto Foto Foto Foto Foto Foto Foto Foto

Funddaten: 15.10.2017; Italien, Toskana, Castiglion Fiorentino; Cantalena; Nestor-Tal, Eichenwald; an der feuchten Böschung auf Erde, aber stets in Verbindung mit Algen und Flechten; gesellig (>20 Fk);
Hut: bis 8 mm breit, gewölbt, im Zentrum genabelt, bis zum Scheitel durchscheinend gestreift, braun bis beigebraun, hygrophan, cremefarben ausblassend; Stiel: bis 1,5 x 0,1 cm, basal fein weißstriegelig, beige, auf ganzer Länge fein bereift; Lamellen: herablaufend, entfernt, weißlich; Mikromerkmale vom Exskikkat: Trama- und HDS-Hyphen: grob querstreifig braun inkrustiert, ohne Schnallen; Kaulozystiden: zahlreich, verstreut bis büschelig, zylindrisch, meist unseptiert, oft rechtwinklig abgeknickt, ca. 27-46 x 5-5,5; Lamellenschneide: fertil; Basidien: 4-sporig, ohne Schnallen, ca. 25-32 x 6,6-6,8; Sporen: ausgeprägt tropfenförmig, basal stark verschmälert und in Seitenansicht meist mit subapikulärer Depression, hyalin, Maße: 7,4 x 4,1 (6,5-8,1 x 3,7-4,6), Q=1,83 (1,61-2,11), 20 Sp. gemessen;