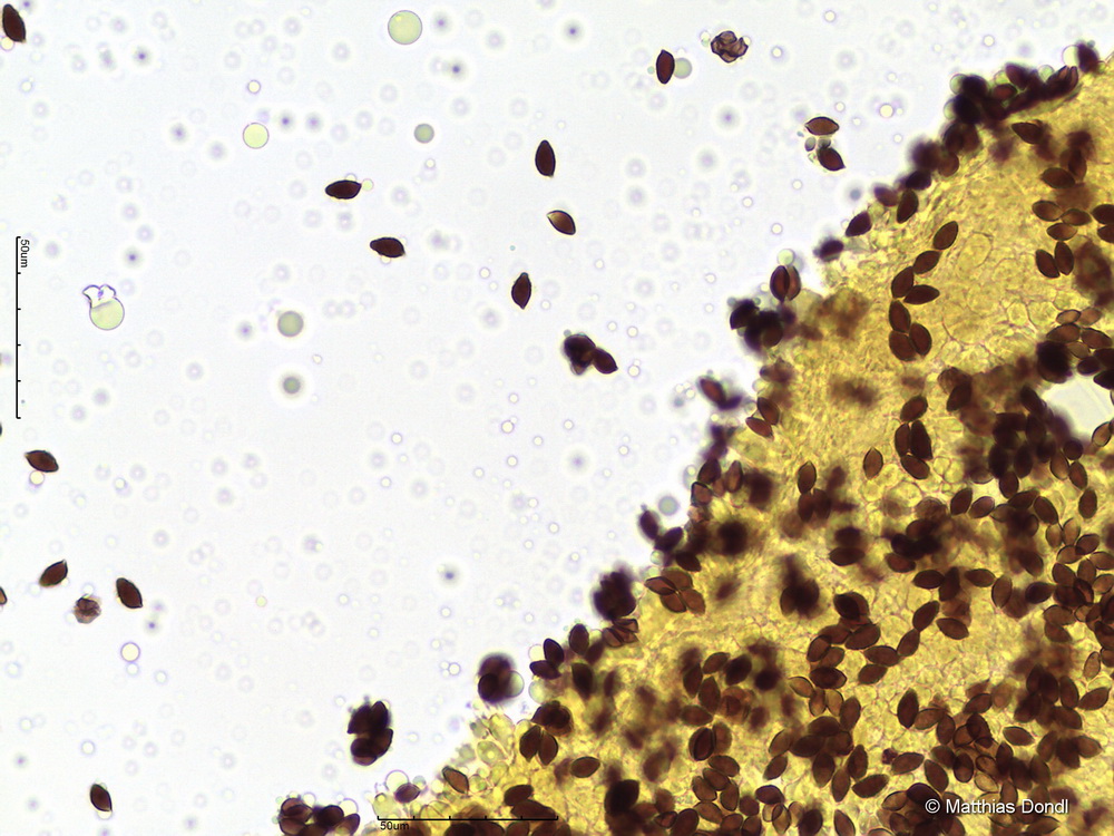
Hebeloma danicum Gröger
Sporen in Melzer

Foto