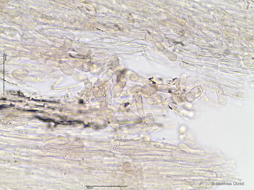
Inocybe tricolor Kühner
Stielbereifung apikal

Foto