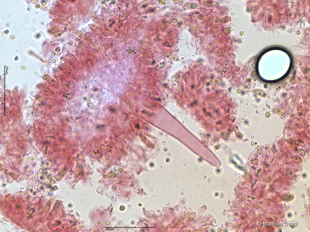
Clitocybula lacerata (Scop.) Métrod
Gloeoplere Hyphen an der Lamellenschneide

Foto