Cortinarius platypus (Moser) Moser
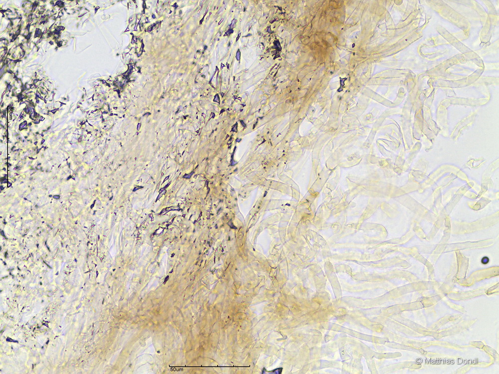
HDS

Foto