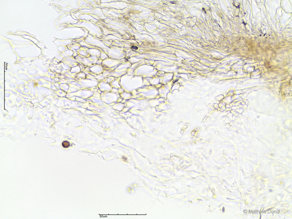
Cortinarius anomaloochrascens Chevassut & Rob. Henry
HDS

Foto