Cortinarius cf. talus Fr.
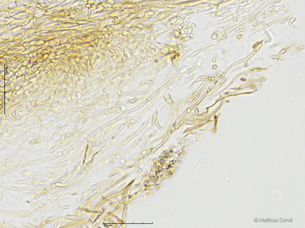
HDS

Foto