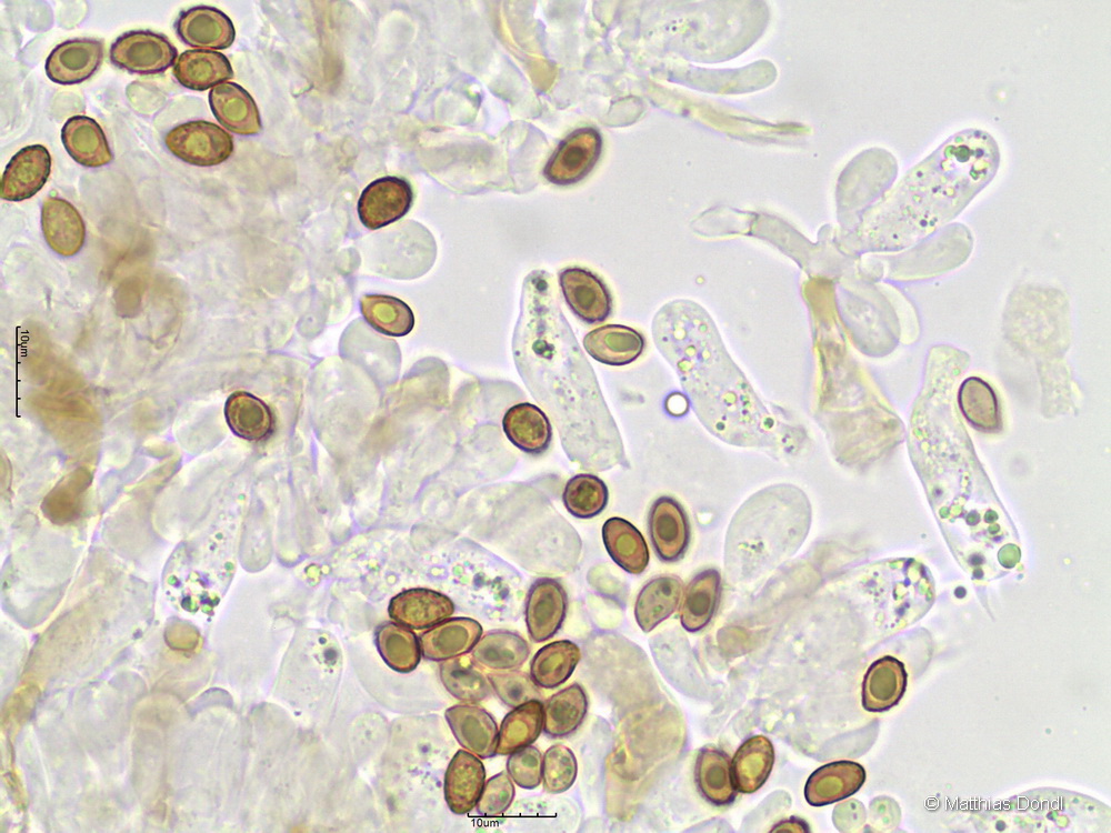
Cortinarius neofallax Carteret & Reumaux
Basidien

Foto