Cortinarius fulvescentoideus Kytöv., Niskanen & Liimat.
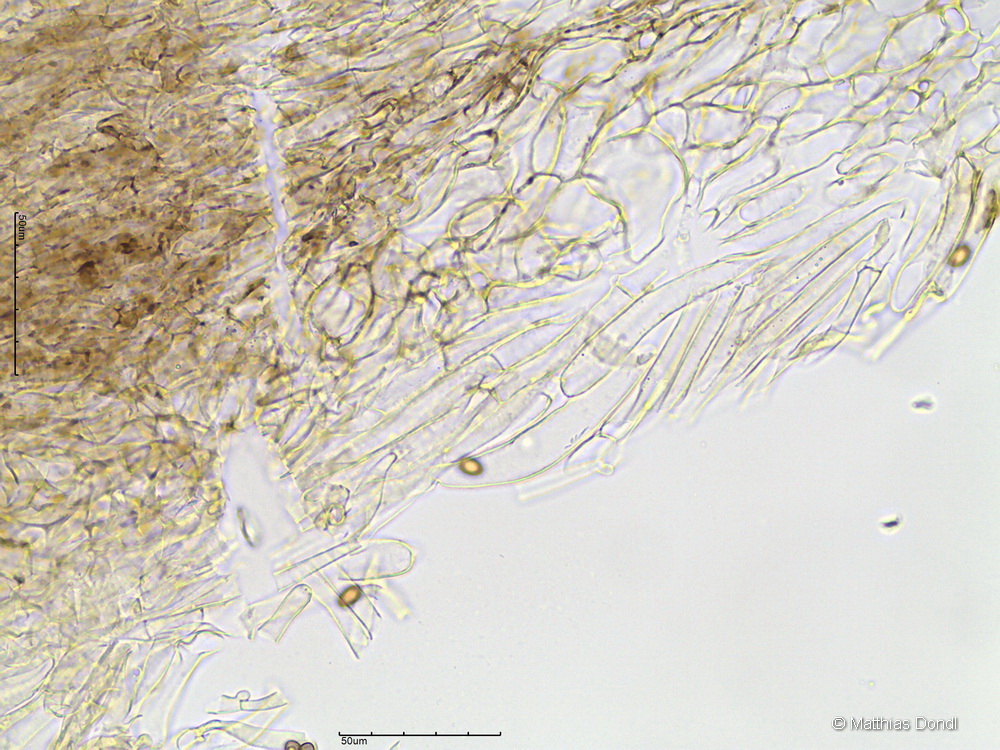
HDS

Foto