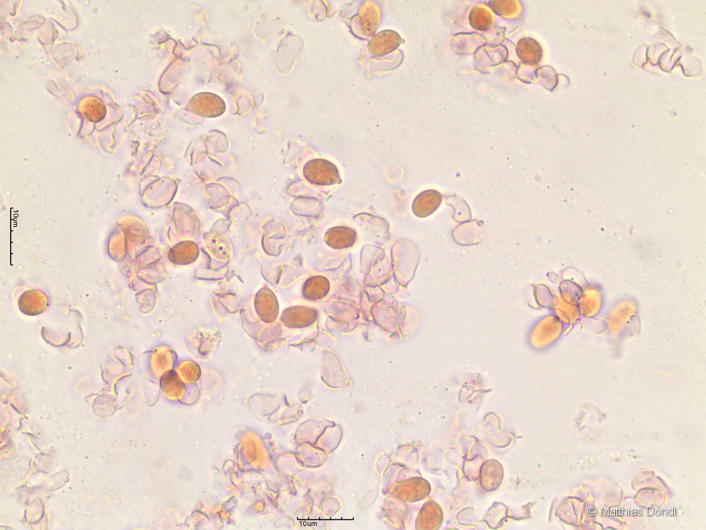
Clitocybe spec.
Sporen

Foto