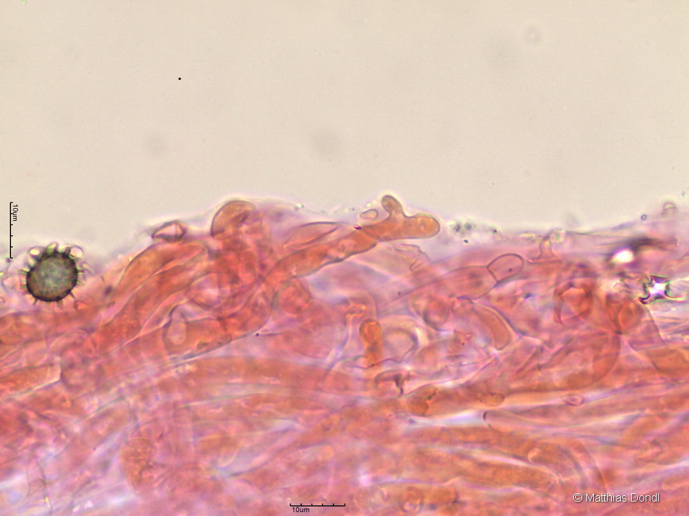
Clitocybe cf. phyllophila (Pers.: Fries) P. Kumm.
HDS

Foto