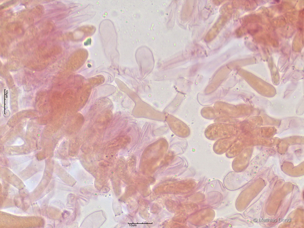
Melanoleuca microcephala (P. Karst.) Métrod ss. Vesterholt
Cheilozystiden