Cystolepiota adulterina (F.H. Møller) Bon
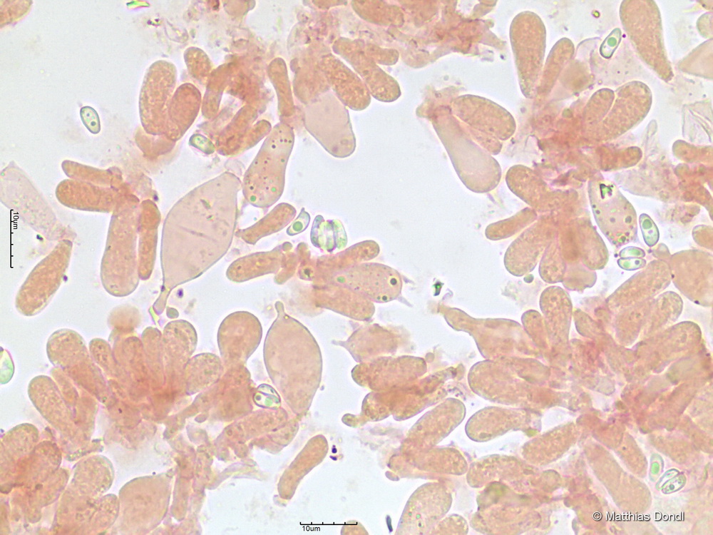
Cheilozystiden

Foto