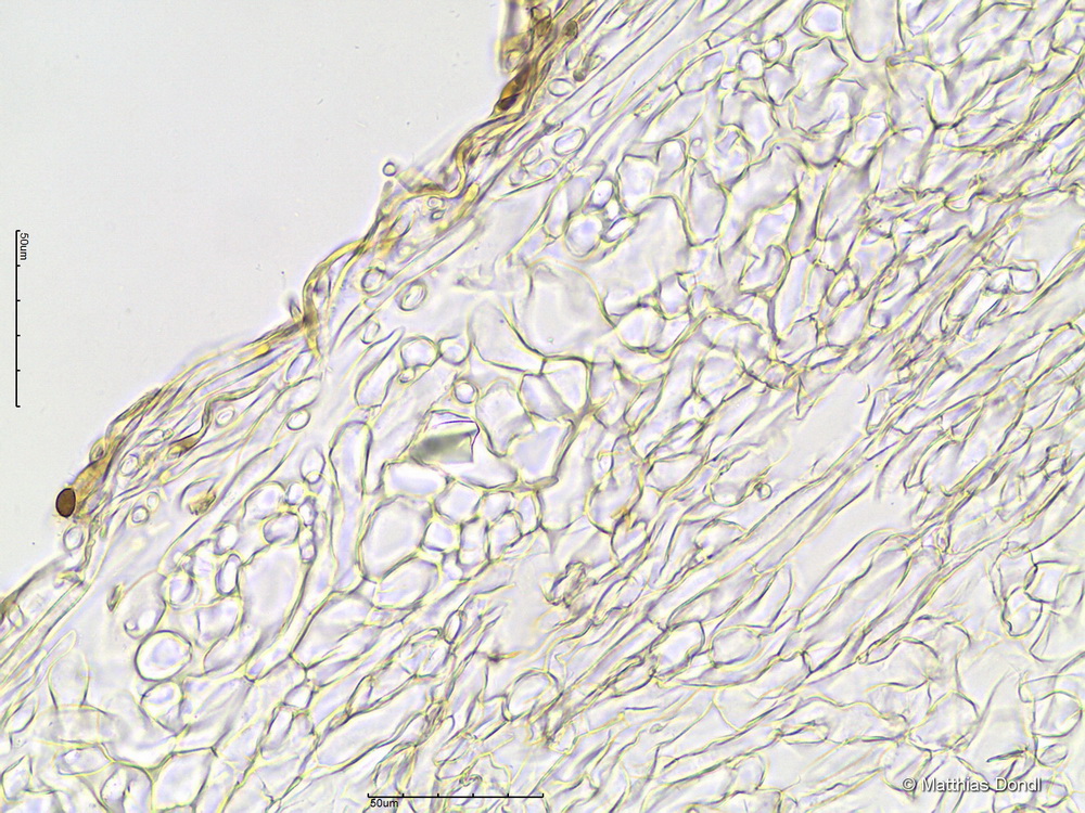
Cortinarius bovinus Fr.
HDS