Cortinarius urbis-veteris Cleric., Boccardo & Dovana
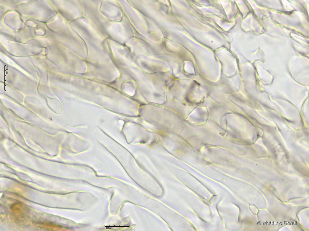
HDS

Foto