Cortinarius basiroseus P.D. Orton
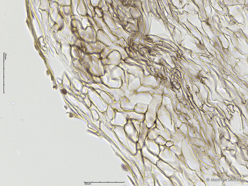
HDS

Foto