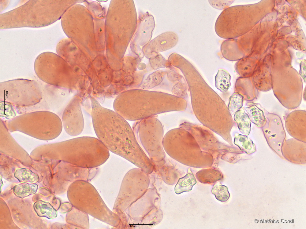
Entoloma sarcitum (Fr.) Noordel.
Hymenium

Foto