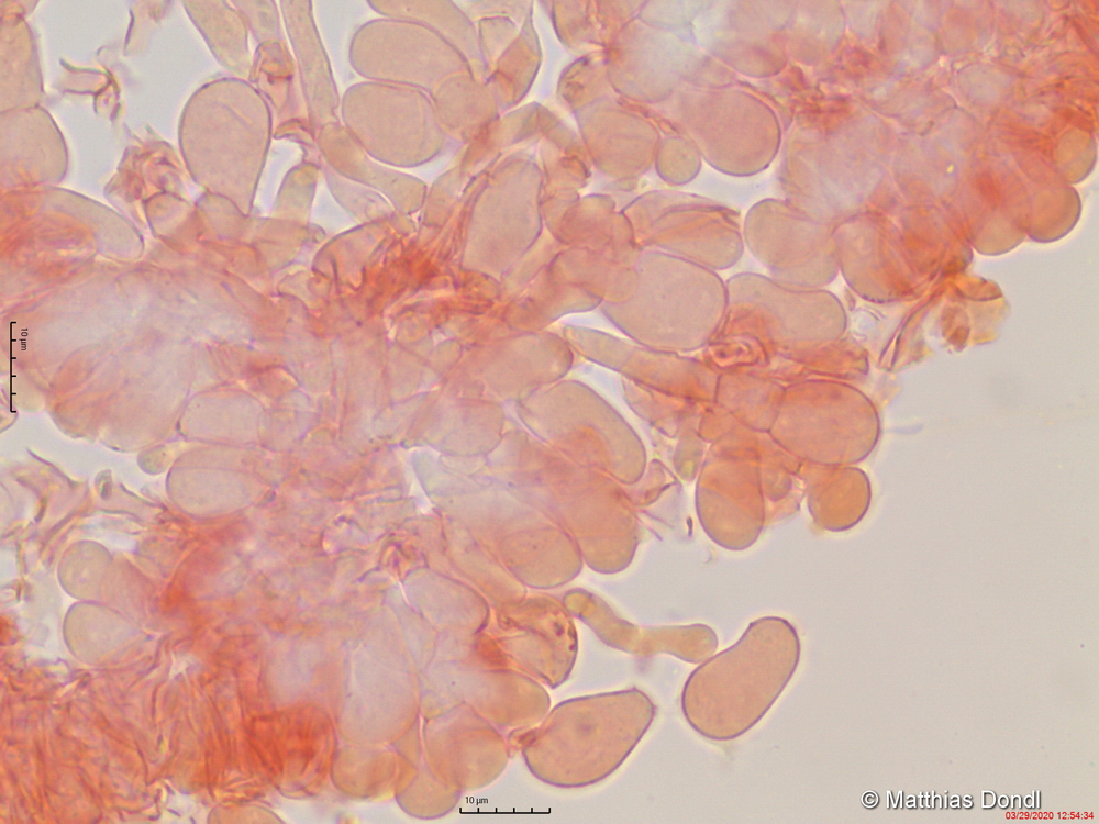
Calocybe fallax (Peck ex Sacc.) Sing. ex Redhead & Sing.
HDS

Foto