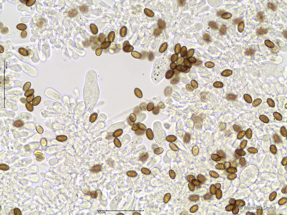
Agrocybe dura (Bolton) Singer
Pleurozystiden

Foto