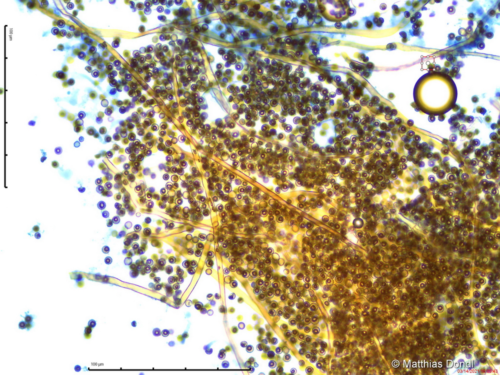
Lycoperdon cf. muscorum Morgan
Capillitium und Sporen in BWB

Foto