Cortinarius luteobrunnescens A.H. Smith 1944
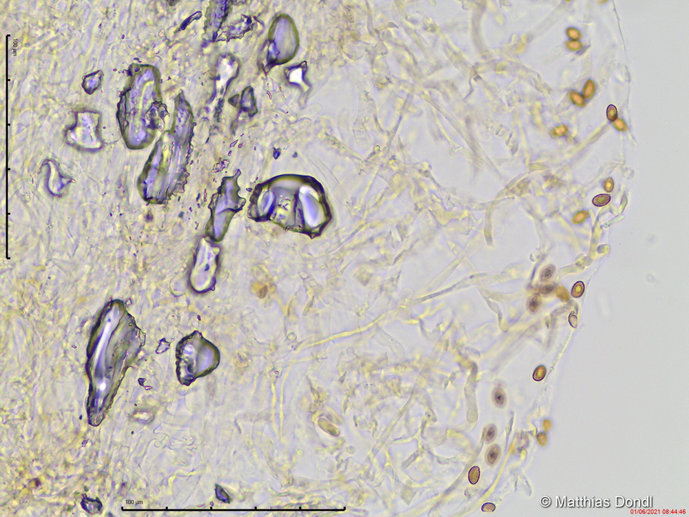
HDS

Foto