Cortinarius alboadustus Bidaud
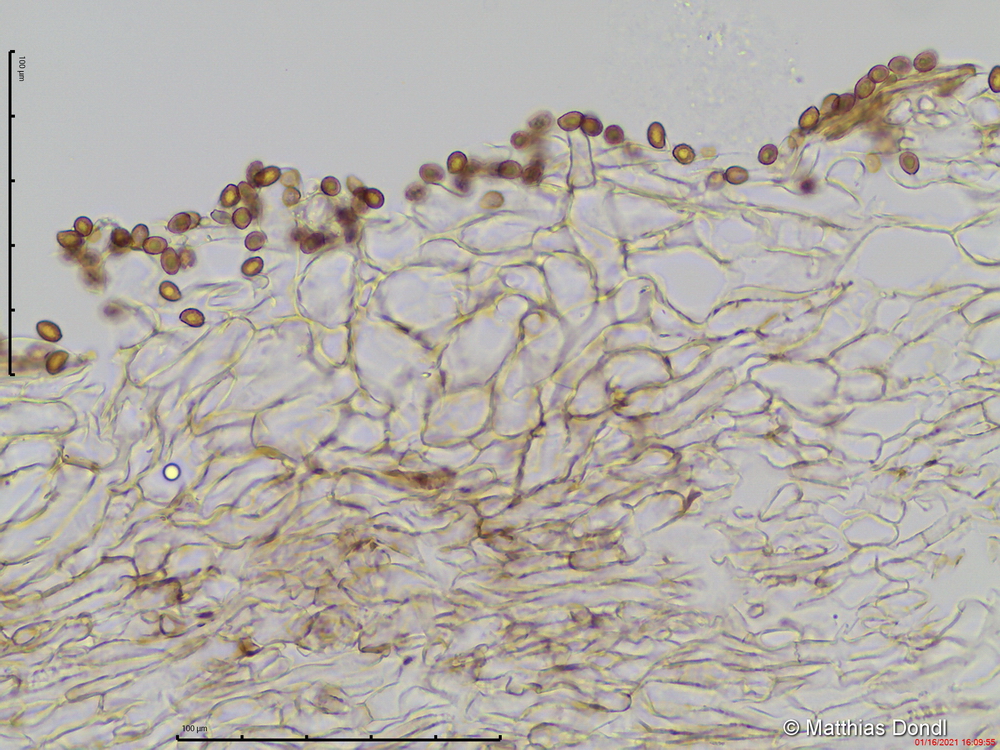
HDS

Foto